科研试剂,广泛应用于分子生物学,药理学等科研方面,严禁用于人体。10-Nitrolinoleate是亚油酸硝化的产物。 在人血浆和尿液中检测到的其他Nitrolinoleate包括9-,12-和13-Nitrolinoleate。Nitrolinoleates...
本产品可用于大鼠骨髓、脂肪等组织来源的间充质干细胞的成脂诱导分化与染色,兼容诱导分化过程中的其他检测,如mRNA检测、蛋白表达检测、免疫组化检测等。
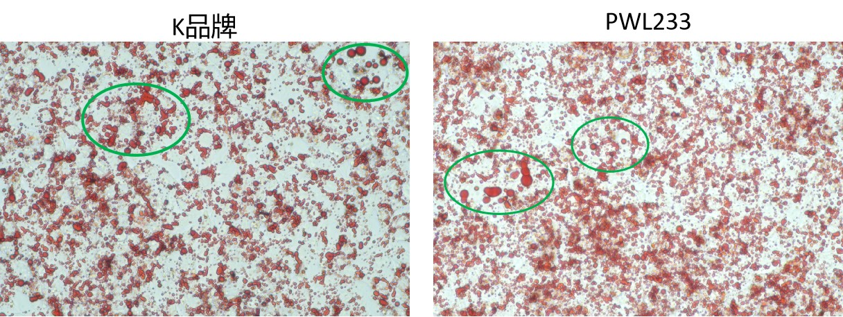
本产品可用于人类骨髓、脐带、脂肪等组织来源的间充质干细胞的成脂诱导分化与染色,兼容诱导分化过程中的其他检测,如mRNA检测、蛋白表达检测、免疫组化检测等。
本品为无脂肪酸的牛血清白蛋白(Fatty Acid Free BSA),其内的脂肪酸含量非常低(0.02%),几乎可忽略,且易溶解。通常用作微量元素,脂肪酸,激素和生长因子的载体蛋白,加入无血清培养体系。本品允许BSA内加入某些特定的脂肪酸以促进细胞生长。适用...
科研试剂,广泛应用于分子生物学,药理学等科研方面,严禁用于人体。10-Nitrolinoleate是亚油酸硝化的产物。 在人血浆和尿液中检测到的其他Nitrolinoleate包括9-,12-和13-Nitrolinoleate。Nitrolinoleates...
本产品可用于大鼠骨髓、脂肪等组织来源的间充质干细胞的成脂诱导分化与染色,兼容诱导分化过程中的其他检测,如mRNA检测、蛋白表达检测、免疫组化检测等。
本产品可用于人类骨髓、脐带、脂肪等组织来源的间充质干细胞的成脂诱导分化与染色,兼容诱导分化过程中的其他检测,如mRNA检测、蛋白表达检测、免疫组化检测等。
本品为无脂肪酸的牛血清白蛋白(Fatty Acid Free BSA),其内的脂肪酸含量非常低(0.02%),几乎可忽略,且易溶解。通常用作微量元素,脂肪酸,激素和生长因子的载体蛋白,加入无血清培养体系。本品允许BSA内加入某些特定的脂肪酸以促进细胞生长。适用...
专注脑模型
价格:可商议
价格:可商议
价格:可商议
价格:可商议
价格:可商议
科研试剂,广泛应用于分子生物学,药理学等科研方面,严禁用于人体。10-Nitrolinoleate是亚油酸硝化的产物。 在人血浆和尿液中检测到的其他Nitrolinoleate包括9-,12-和13-...
本产品可用于大鼠骨髓、脂肪等组织来源的间充质干细胞的成脂诱导分化与染色,兼容诱导分化过程中的其他检测,如mRNA检测、蛋白表达检测、免疫组化检测等。
本产品可用于人类骨髓、脐带、脂肪等组织来源的间充质干细胞的成脂诱导分化与染色,兼容诱导分化过程中的其他检测,如mRNA检测、蛋白表达检测、免疫组化检测等。
本品为无脂肪酸的牛血清白蛋白(Fatty Acid Free BSA),其内的脂肪酸含量非常低(0.02%),几乎可忽略,且易溶解。通常用作微量元素,脂肪酸,激素和生长因子的载体蛋白,加入无血清培养体...
1.本产品的有效成分:棕榈酸钠(Sodium palmitate, 6mM)和油酸钠(Sodium stearate, 12mM)。2.本产品为无菌(0.22μm过滤)溶液,可与完全培养基直接互溶用于...
1.本产品的有效成分是棕榈酸(Palmitic acid),浓度是6mM。2.本产品为无菌(0.22μm 过滤)溶液,可与完全培养基直接互溶用于实验。3.本产品中高脂细胞添加剂及溶剂对照均为淡黄色清亮...
We are committed to providing our customers with super exceptional service while offering our employees the best training and a working environment in which they can excel best of all place for more than a half century.This company focus has been in place for more than a half century. We are committed to providing our customers with exceptional service while offering our employees the best training best of all and a working environment.We are committed to providing our customers with super excep...